Magnetic Resonance Imaging (MRI)
Nuclear magnetic moments
- Hydrogen dipoles
- Normally randomly positioned
Strong magnetic field
- Repositions hydrogen dipoles
Relaxation times
- Takes time for dipoles to re-position after magnetic field turned off
Longitudinal relaxation time (spin lattice, or T1)
- Long axis
- 100 to 2000 ms in biological tissue
Transverse relaxation time (spin-spin, or T2)
- Perpendicular to long axis
- 30 to 300 ms in biological tissue
Relaxation time longer in damaged tissue
Spinal Cord
CNS
Ascending tracts
- Somatosensory information to brain
Descending tracts
- Motor-control information from brain
Central pattern generators
- Interneurons
- Brain influence
Spinal reflexes
- Sensory neuron
- Interneuron
- Motor neuron
- e.g., flexion reflex
Subcortical Structures of the Brain
Brainstem
Medulla and pons
- Postural reflexes
- Vital reflexes
- Breathing, heart rate, etc.
Mid-brain
- Basic movements
- Connections to CPGs in spinal cord
Thalamus
- "Relay station"
- Connects parts of the brain
- Sensory tracts from brainstem terminate here
- Output then to cerebral cortex
Cerebellum and Basal Ganglia
Cerebellum
- Motor control
- Rapid, powerful movement
- Information processor
- Input from sensory organs
- Coordinates complex movement
Basal ganglia
- Grey matter
- Motor control
- Slow, precise movement
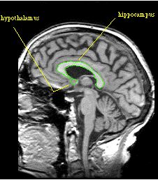
Limbic System and Hypothalamus
Limbic system
- Amygdala
- Hippocampus
- Regulates internal environment of the body
- Autonomic nervous system
- Hormones
- Drive states
Cerebral Cortex
Primary sensory area
- Input from sensory nerves (via thalamus)
- Visual area
- Auditory area
- Somatosensory area
- Back
Primary motor area
- Sends axons to motor neurons in brainstem and spinal cord
- Middle
Associative areas
- Perception, thought, decision making
- Receive input
- Sensory areas
- "Lower brain" structures
- Front
Cortex and evolution
Cortical Asymmetry
Right and left hemispheres
Corpus callosum
Contralateral pathways
- Sensory neurons from right side input to left hemisphere and vise versa
- Motor neuron from left hemisphere to right
side of body
- Unified sensation and movement due to
corpus callosum
Not all brain function is unified
- Left hemisphere
- Right hemisphere
Split Brain Patients
Corpus callosum is severed
Contralateral pathways
Visual information
- Right visual field to left hemisphere
- Left visual field to right hemisphere
- Corpus callosum would transfer information
Experiment
- Visual picture in left visual field
- Test: touch object with left hand
- Test: name object
Hormones
Chemical messengers
- Related to neurotransmitters
Slow, distance
Released by:
- Endocrine glands
- Internal organs
- Brain
Carried by bloodstream
Hormone effects
- Long-term
- e.g., Anatomical sex differences, growth, bone strength
- Short-term
- e.g., Fight-or-flight response, healing, menstrual cycle
Classes of hormones
- Peptides
- Pituitary gland
- Don't pass cell membranes easily
- Act like neurotransmitters
- Open/close membrane channels
- Change ion concentration
- Steroids
- Adrenal cortex and gonads
- Pass cell membranes easily
- Effect in cell nucleus
- Genes
- Production/reduction of certain proteins
Brain control of hormones
- Pituitary
- Posterior
- Part of the brain
- Connected to neurosecretory cells in hypothalamus
- Produces hormone releasing factors
- Anterior
- Triggered by releasing factors
- Produces pituitary hormones
- Releases hormones to bloodstream
Chapter 6 in Review
Neurons: signaling, information transfer
Soma, axon, terminal, dendrites
Chemical synapses: neurotransmitters
Electrical synapses: ion flow
Resting membrane potential
Action potential: threshold, charged particles
Central pattern generators
Artificial neural networks
PNS
- Skeletal
- Autonomic: sympathetic, parasympathetic
MRI
CNS levels and function
Cortical asymmetry and split brain patients
Hormones
Mental Mastications
In split brain patients, why is it the case that the right hand doesn't know what the left hand is doing?
What effect could a severe blow to the back of the head (resulting in damage to the cerebellum) have?
What is so much better about a human brain than a dog, or even a monkey, brain?
How are hormones and neurotransmitters similar?
Return to Psych 104 Lecture Index page.